Fill Out the Form Now
Severe tooth pain can’t wait. Swelling, throbbing, or infection can get worse fast and put your health at risk. Don’t wait another minute. Book an urgent dental appointment now and get professional care to stop the pain and protect your smile today.

Act Fast on Sudden Tooth Pain
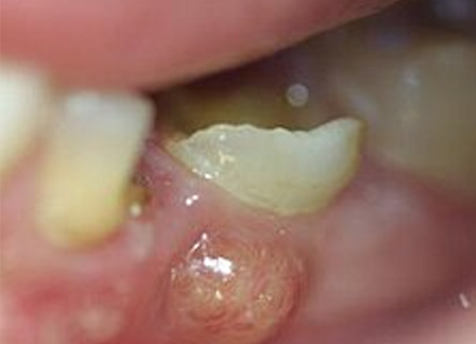
Tooth pain and infections can start small but escalate quickly. What seems like minor discomfort can affect your overall health if left untreated. Don’t wait. Book professional dental care today to relieve pain and protect your smile.
Warning signs you need immediate care:
- Severe, unrelenting tooth pain that won’t stop
- Swelling in your face or jaw making it hard to eat or talk
- Fever or chills signaling infection
- Pus or bad taste in your mouth
Every hour counts. The sooner you act, the better your outcome.
Immediate Relief Is Possible Today
At our Toronto clinic, we provide fast, gentle treatment for dental abscesses:
- Pain assessment and X-rays to pinpoint the infection
- Drainage of the abscess to reduce swelling and pain
- Antibiotics to stop the infection from spreading
- Guidance to prevent future abscesses
You’ll leave with relief, knowing your infection is under control.

Testimonials

Kevin Zhang
![]()
I came for my first appointment in November 2024, very nervous about my dental health, and my partner recommended me this office. They were very friendly, welcoming and helpful! Super accommodating to everything I needed…

Jay
![]()
I can’t say enough wonderful things about Midtown Dental Centre and especially Mr. Ramlaggan! He created a custom sleep apnea appliance for me that has been absolutely life-changing — I’m finally sleeping through the…

Libby Lucas
![]()
I’ve been coming here for 15+ years. At first, I came because it was close to where I worked, and the Yonge-Bloor subway was just down the corridor. But the main reason I’ve kept coming is that they’re so good! Punctual, professional…
Expert Dental Care You Can Count On
Midtown Dental is the trusted choice for emergency abscess care in Toronto because of our convenient location, expert team, and patient-centered approach.
![]()
Midtown Dental is situated at 20 Bloor Street East, Unit R4, in the heart of downtown Toronto.
![]()
We understand how urgent dental abscesses are, which is why Midtown Dental welcomes emergency walk-ins and offers same-day appointments for quick relief.
![]()
Dr. Ramlaggan brings years of experience specializing in emergency dental care.
![]()
Beyond clinical skill, Midtown Dental puts your comfort first.
![]()
Accurate diagnosis is critical in emergency
Contact US
Don’t Let a Dental Pain Take Over Your Life
Pain, swelling, and infection are serious—and waiting can make things worse. Take control of your health and stop the infection before it spreads. Visit Us at 20 Bloor Street East, Unit R4, Toronto, ON M4W 3G7 or
Call us at (416) 966-3368 for Same-Day Emergency Care.




