
Restore What Time and Wear Have Taken Away
Comprehensive Full-Mouth Rehabilitation for Worn, Flattened, or Damaged Teeth
Your teeth are built to last a lifetime, but daily wear, stress, and grinding can gradually take their toll. Over time, enamel weakens, teeth shorten, and your bite begins to collapse. What starts as mild wear can evolve into a full-mouth problem that affects how you eat, speak, and even how your face looks.
At Midtown Dental, we specialize in diagnosing and restoring severe tooth wear, also known as dental attrition. Our approach combines advanced Prosthodontic care, digital technology, and aesthetic artistry to rebuild your smile, tooth by tooth, until balance, comfort, and confidence are restored.
What Is Severe Tooth Wear (Attrition)?
Attrition is the natural wearing away of tooth structure caused by tooth-to-tooth contact. While some wear is normal as we age, excessive attrition can cause serious problems when enamel is lost faster than it can be repaired. You may notice:
- Teeth that look shorter or flatter than before
- Yellowing from exposed dentin underneath the enamel
- Chipping or cracking along the edges
- Jaw pain or headaches from bite imbalance
- Tooth sensitivity to hot, cold, or pressure
- Difficulty chewing or speaking clearly
These symptoms often result from bruxism (teeth grinding or clenching), acid erosion, or bite misalignment. Left untreated, severe wear can lead to tooth fractures, TMJ strain, and premature facial aging due to loss of vertical height in the lower face.


Why Teeth Wear Down: and Why It Matters
- Nighttime grinding (bruxism): often linked to stress or sleep apnea
- Acid erosion: from diet, acid reflux, or certain medications
- Improper bite alignment: where some teeth absorb more pressure than others
- Tooth loss or old restorations: that shift your bite over time
- Aging: gradual enamel thinning is normal but can accelerate with lifestyle habits
Understanding why your teeth are wearing down is the first step toward stopping further damage. Our focus is functional. We restore both the look and strength of your smile while correcting the underlying cause of wear.
Midtown Dental’s Comprehensive Approach to Severe Wear
Dr. Ramlaggan and our Prosthodontic team take a precision-driven, whole-mouth approach to restoring worn teeth. Every patient receives a personalized treatment plan that begins with diagnostic imaging, digital smile design, and bite analysis to map out exactly how the teeth, muscles, and joints work together.
Once we understand the full picture, we create a step-by-step plan to rebuild your smile’s foundation using advanced restorative techniques. Our full-mouth reconstruction process may include:
- Dental crowns and onlays to rebuild structure and strength
- Porcelain veneers for aesthetics and symmetry
- Composite bonding for minor wear and chips
- Bite rebalancing to restore proper function and alignment
- Nightguards or airway therapy to prevent future grinding damage
Every restoration is custom-designed to match your natural tooth color and shape, creating a harmonious, comfortable, and long-lasting result.


Full-Mouth Reconstruction: Rebuilding from the Ground Up
- A balanced bite that prevents future wear and joint stress
- Restored facial support, reversing the “collapsed” appearance caused by worn teeth
- A youthful, confident smile that looks natural and feels strong
- Long-term protection from further damage
This process can completely transform a patient’s quality of life: not only functionally, but emotionally. Many of our patients report being able to chew comfortably, speak clearly, and smile with renewed confidence for the first time in years.
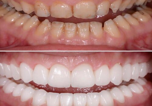
Real Transformations: See the Results
There’s no better proof than experience. Our Full-Mouth Case Gallery features real patients who came to Midtown Dental with severe wear, broken teeth, or collapsed bites, and left with functional, stunning smiles.
Each transformation reflects our meticulous planning, precise craftsmanship, and commitment to helping patients rediscover their best selves.


Why Choose Midtown Dental for Full-Mouth Rehabilitation
Midtown Dental is home to advanced Prosthodontic care in Toronto, offering a unique blend of technology, artistry, and whole-body dentistry. Here’s what sets us apart:
- Prosthodontic Expertise: Complex restorative cases are managed in collaboration with our Prosthodontist, ensuring every tooth is built with precision and longevity in mind.
- Digital Smile Design & 3D Imaging: We use cutting-edge technology to visualize your results before treatment even begins.
- AirwayCentric® Dentistry: Our approach looks beyond the teeth to include the airway, jaw, and posture, ensuring your restorations don’t just look good, they support better breathing and long-term health.
- Minimally Invasive Techniques: We preserve as much of your natural tooth structure as possible.
- Comprehensive Aftercare: From nightguards to maintenance visits, we help you protect your investment for years to come.
At Midtown Dental, we believe that restoring a worn smile is more than a procedure, it’s a transformation that restores quality of life.
Take the First Step Toward a Rebuilt, Confident Smile
If your teeth feel shorter, sensitive, or uneven, or if you’ve been told you grind your teeth, don’t wait for the damage to worsen. Early intervention can save your smile from more extensive treatment down the road.
Book a comprehensive consultation with Dr. Ramlaggan today to learn how our full-mouth reconstruction and severe wear treatments can restore your smile’s strength, balance, and beauty

Book Your Attrition Consultation
Same day walk-in appointments available.
Book yours today.


