At Midtown Dental, we take care of your whole implant process right here in our office, from placing the implant to restoring it and keeping it healthy for years to come. You’ll work with the same trusted team every step of the way, so nothing gets lost in between visits. We handle all the details, from planning and imaging to follow-ups and check-ins after healing. If the implant is in a visible area, we can craft a temporary crown that same day, so your smile stays complete. Every part of the process is designed to feel easy, comfortable, and personal to you.

WHAT ARE DENTAL IMPLANTS
Dental implants at Midtown Dental are the most advanced solution for replacing missing teeth and restoring your smile. Unlike removable dentures or traditional bridges, implants are placed directly into the jawbone where a titanium post acts as a secure artificial root. This foundation supports a custom crown that is carefully designed to blend seamlessly with your natural teeth, giving you a strong, functional, and natural-looking replacement.
Why Dental Implants?
Dental implants are the gold standard for tooth replacement in Midtown Toronto because they restore both function and confidence in your smile. Unlike traditional dentures or bridges that rest on the gums, dental implants are anchored directly into the jawbone with a biocompatible titanium post. This creates a stable foundation that mimics natural tooth roots, preserving bone health and providing lasting support for crowns, implant-supported bridges, or full-arch restorations.
At Midtown Dental Centre, your trusted implant dentist near Bloor and Yonge, we customize every implant treatment to your unique oral health and aesthetic goals. Using advanced digital imaging and guided implant placement, we ensure precise and predictable results. Whether you need to replace one tooth or multiple teeth, dental implants in Midtown Toronto help you chew, speak, and smile with renewed confidence.

BENEFITS OF DENTAL IMPLANTS
Choosing dental implants gives you long lasting benefits that go beyond aesthetics. Implants restore your ability to chew and speak comfortably, eliminate the discomfort of ill fitting dentures, and preserve the natural bone structure of your jaw. They prevent surrounding teeth from shifting out of place and help maintain the natural shape of your face. Because they are designed to mimic natural teeth in both appearance and sensation, dental implants deliver a confident smile and reliable function every day.
Advantages of Dental Implants
Dental implants offer more than just an improved appearance — they support your overall oral health. By stimulating the jawbone, implants prevent bone loss that typically follows tooth loss, helping maintain your facial structure and preventing neighboring teeth from shifting. Because implants distribute bite forces evenly, they reduce wear on your remaining natural teeth.
Patients choosing dental implants near Bloor and Yonge enjoy greater comfort and convenience compared to removable dentures. There’s no need for adhesives or special cleaning routines, and you can eat your favorite foods without restrictions. With proper care, dental implants can last a lifetime, making them a cost-effective long-term solution for tooth replacement.
At Midtown Dental Centre, we combine expert clinical care with the latest implant technology to deliver comfortable, efficient, and lasting results. If you’re exploring dental implants in Midtown Toronto, contact us to schedule your consultation and take the first step toward restoring your smile.

THE DENTAL IMPLANT PROCESS
At Midtown Dental, your dental implant journey begins with a detailed consultation where Dr. Ramlaggan and our Doctors carefully evaluate your oral health and create a personalized treatment plan.The first step is placing the titanium implant post into the jawbone where it naturally bonds through a process called osseointegration.
After the healing phase a custom crown is placed on top of the implant completing your restoration. Our team focuses on precision and patient comfort at every stage to ensure the best possible outcome.
WHO IS A CANDIDATE FOR DENTAL IMPLANTS
Most adults with missing teeth are excellent candidates for dental implants. Good oral health and sufficient jawbone density are important factors but even if bone loss has occurred Midtown Dental offers advanced techniques such as bone grafting to prepare the area for implant placement. During your consultation our doctors will review your medical history, oral condition, and lifestyle needs to determine if implants are the right choice for restoring your smile.


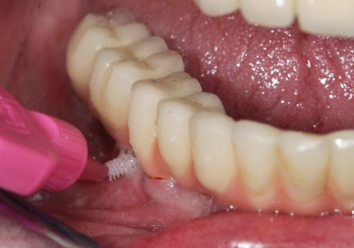
IMPLANT MAINTENANCE PROGRAM
Dental implants require ongoing care to remain healthy, functional, and long-lasting. Professional dental implant maintenance appointments allow your dental team to perform thorough implant cleaning, removing plaque and bacteria that regular brushing and flossing may miss. This level of dental implant care helps protect the surrounding gums and bone and plays an important role in peri-implantitis prevention.
Our Implant Maintenance Program focuses on long-term implant health and longevity through regular implant maintenance appointments and professional reviews. These visits allow early detection of concerns, support proper bite alignment, and ensure both implants and natural teeth stay in excellent condition. With consistent long-term implant care and personalised home-care guidance, patients can maintain comfort, stability, and confidence in their dental implants.
CARING FOR YOUR DENTAL IMPLANTS
Dental implants are easy to care for and can last a lifetime with proper maintenance. Brushing twice daily, flossing regularly, and attending routine checkups at Midtown Dental will protect your investment. Because implants are resistant to decay they provide a durable solution but healthy gums and surrounding teeth are essential to long term success. With proper care your dental implants will remain strong, stable, and natural looking for decades.

Restore Your Smile – Book Your Implant Consultation
Same day walk-in appointments available.
Book yours today.

