9 Symptoms You Might Need a Dental Filling | Midtown Dental Toronto
Visiting the dentist can sometimes feel stressful, and it becomes even harder when you are unsure if you actually need care. Knowing the early symptoms you might need a dental filling such as tooth sensitivity, visible dark spots and tooth ache helps you act confidently and make informed choices.
Understanding what your teeth are telling you removes much of the uncertainty, and when you can recognize common warning signs early, dental visits feel more purposeful and less intimidating. This awareness supports better decisions, protects long-term oral health, and helps you seek care on your own terms.
1. Tooth Sensitivity to Hot, Cold, or Sweet Foods

One of the earliest signs that a tooth may need a filling is sensitivity to temperature or certain foods, and you may notice sharp discomfort when drinking cold water, enjoying ice cream, or eating sweets. This sensation can come and go, but it signals that enamel may be weakened or a cavity is forming.
Ignoring these symptoms often leads to deeper decay, and a dental filling restores the tooth surface while protecting the inner layers from further damage. At Midtown Dental, we focus on gentle and minimally invasive solutions to relieve discomfort and prevent progression.
2. Severe Toothache

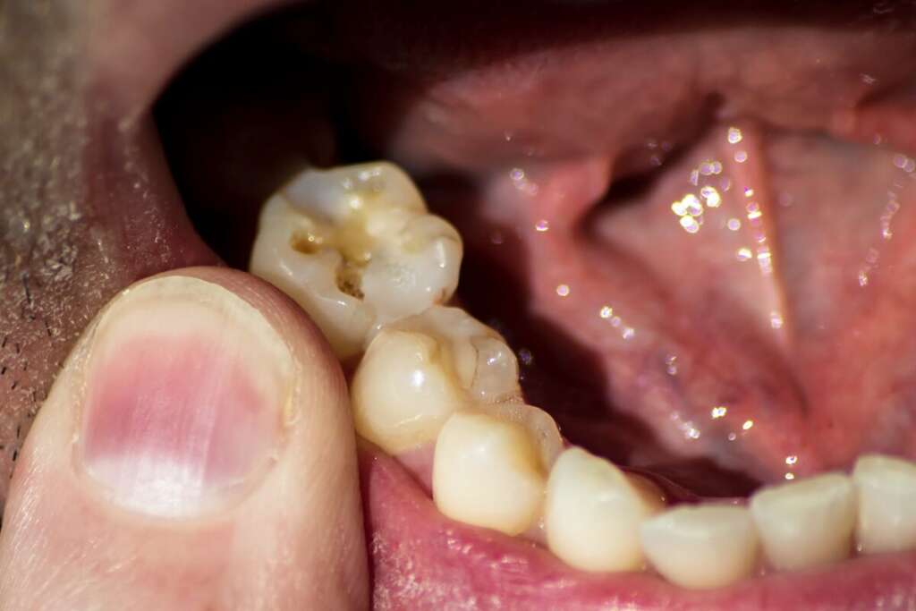
Sometimes decay is visible before it causes pain, and small dark spots, pits, or holes in teeth are clear indicators that a filling may be needed. These changes often appear on molars, between teeth, or along the biting surface, and they may develop slowly and go unnoticed without regular dental exams.
Common reasons these areas form include plaque buildup in hard-to-reach grooves, weakened enamel from acidic foods or drinks, areas where brushing does not fully remove bacteria, and natural tooth anatomy that traps debris. Early detection is key to preventing larger problems, and treating decay at this stage limits damage while preserving healthy tooth structure.
You can contact us anytime to fix the pits, holes or small dark spots in your teeth.
3. Toothache or Persistent Pain

A lingering toothache is often a sign of dental decay reaching deeper layers of the tooth, and pain can start mild but increase with chewing, pressure, or changes in temperature. Sometimes the discomfort occurs spontaneously without any apparent cause, and these sensations may come and go, making them easy to dismiss at first.
Common ways tooth decay-related pain may present include:
- A dull ache that lingers after eating
- Sharp discomfort when biting down
- Sensitivity that lasts longer than a few seconds
- Pain that radiates to the jaw or nearby teeth
Prompt attention reduces the risk of infection or the need for more extensive procedures, and addressing the issue early often allows for a straightforward filling rather than advanced treatment. This is also Why Regular Dental Check Ups Matter.
Compassionate dental care ensures timely fillings restore comfort, prevent further complications, and protect long-term oral health.
4. Lost Filling or Crown

Experiencing pain or discomfort when biting down can indicate that tooth structure is weakening, and cavities may create tiny fractures in enamel that are aggravated by pressure. You may notice sharp, localized pain on one side or specific teeth.
Key points to recognize include:
- Pain that occurs only when chewing certain foods
- Sharp, sudden discomfort on one tooth or side of the mouth
- Sensitivity that worsens under pressure
A dental filling reinforces the tooth and helps prevent further cracking, and prompt attention can protect long-term oral health while minimizing stress. Same-day dental appointments are often available for urgent concerns, allowing treatment to be discreet and convenient.
5. Rough or Uneven Tooth Surfaces

If your teeth feel rough or have uneven surfaces, this could be an early sign of enamel erosion or decay, and food can get trapped in these areas, leading to increased sensitivity and discomfort. Over time, small irregularities can develop into cavities.
Signs to watch for include:
- Teeth feeling slightly jagged or rough when you run your tongue over them
- Increased sensitivity to hot, cold, or sweet foods
- Food or debris catching in uneven spots
Dental fillings smooth these surfaces and restore proper tooth function, and advanced tooth-colored materials can create natural-looking results that maintain aesthetics and oral health.
6. Food Getting Stuck Between Teeth

Frequent food trapping between teeth may signal cavities or gaps forming, and even with regular brushing and flossing, persistent accumulation can indicate that enamel has been compromised. This is a subtle but important warning sign.
Common indicators include:
- Food consistently lodging in the same spots after meals
- Discomfort or mild pain when chewing sticky or hard foods
- Early signs of decay between teeth
Restorative fillings close these gaps and prevent decay from worsening, and private dental care ensures treatments are tailored to your comfort while minimizing disruption to daily life.
7. Discoloration Around Fillings or Old Restorations

If you already have fillings, noticing discoloration, cracks, or gaps around them suggests the restoration may be failing, and leakage around an old filling can allow decay to develop underneath, often without noticeable pain at first. Changes in texture or shade near a restored area can signal that the seal is no longer secure.
Key warning signs include:
- Darkened edges forming around existing fillings
- Hairline fractures visible on or near restorations
- Increased sensitivity in previously treated teeth
- A rough or uneven feeling when your tongue touches the area
A quick dental visit can repair or replace failing fillings, and modern materials allow restorations to be refreshed with minimal disruption. Professional care ensures results are discreet, functional, and natural-looking, helping you avoid more invasive procedures in the future.
8. Bad Breath or Unpleasant Taste

Persistent bad breath or a foul taste in the mouth can sometimes indicate tooth decay or cavities, and decay produces bacteria that can affect oral hygiene even with careful brushing. While not every case requires a filling, consistent issues warrant evaluation, and these symptoms may be more noticeable after eating, in the morning, or despite using mouthwash.
Additional factors that may contribute to ongoing bad breath related to dental issues include:
- Food particles trapped in cavities or damaged enamel
- Bacteria buildup around existing fillings or restorations
- Areas that are difficult to clean with regular brushing
- Early-stage decay that has not yet caused pain
Dental fillings eliminate decay and restore the tooth’s integrity, and by sealing affected areas, fillings reduce bacterial buildup while helping maintain fresh breath. Professional care ensures treatments are comfortable, safe, and discreet, supporting overall oral health.
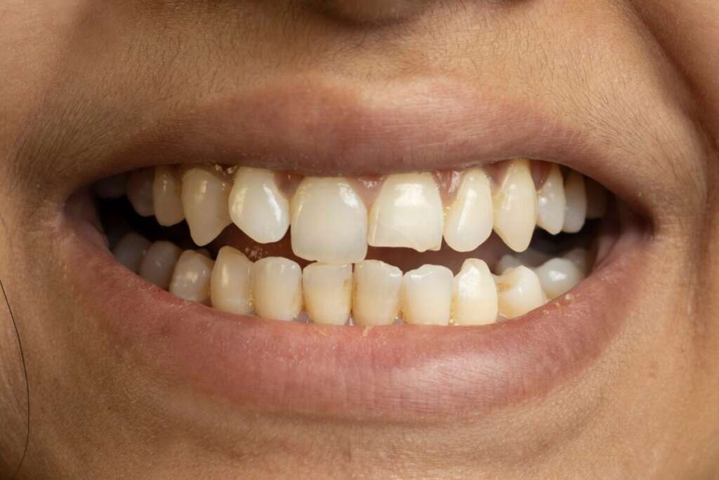
9. Cracks or Chips in Teeth

Small cracks or chips may expose inner layers of the tooth, making it susceptible to decay, and even minor damage can worsen over time if not addressed. Pain may not always be present, but structural compromise is a serious sign, and these imperfections can also trap food and bacteria, increasing the risk of further enamel breakdown.
Common causes of cracks or chips include:
- Biting down on hard foods such as ice or nuts
- Accidental impact or trauma to the mouth
- Teeth grinding or clenching, especially during sleep
- Normal wear over time, particularly on back teeth
Dental fillings or composite restorations repair damaged enamel while reinforcing the tooth, and these treatments restore strength while sealing exposed areas to prevent decay. Cosmetic and restorative expertise ensures that your smile looks natural and feels strong, with materials carefully shaped and color-matched for discreet, long-lasting results.
Prevention Through Regular Checkups
Sometimes cavities are present without any symptoms, and routine dental checkups allow early detection before pain occurs. Professional cleanings remove plaque and tartar, reducing the risk of decay, and detecting issues early often means a simple filling rather than a more complex procedure. These visits also help identify subtle changes that are not visible or noticeable at home.
Regular preventive visits support long-term oral health in practical ways, including:
- Early detection of cavities before they reach deeper tooth layers
- Removal of hardened tartar that brushing and flossing cannot eliminate
- Monitoring of existing fillings or restorations for wear or leakage
- Assessment of gum health to prevent inflammation and bone loss
These visits also provide opportunities for tailored advice on oral care at home, including brushing techniques, flossing habits, and product recommendations based on your specific needs. Scheduling dental checkups and cleanings nearby ensures your teeth remain healthy while maintaining comfort and privacy.
How Midtown Dental Makes Fillings Comfortable and Discreet
Many adults avoid fillings because of anxiety or discomfort, and modern dental care prioritizes patient comfort through advanced anesthetic techniques and a calm, respectful approach. Treatments are designed to be efficient and effective, helping reduce time in the chair while maintaining high clinical standards, and clear communication before and during treatment helps patients feel informed and in control.
Comfort-focused care includes:
- Gentle numbing techniques to minimize discomfort
- Modern tools that reduce noise, vibration, and pressure
- Step-by-step explanations so there are no surprises
- A relaxed, private treatment environment designed for adult patients
Additionally, a cosmetic approach ensures fillings match the color and shape of natural teeth, and tooth-colored materials blend seamlessly with your smile while restoring function. This attention to detail allows you to enjoy restored teeth without anyone noticing treatment has occurred, making private dental care reassuring, discreet, and effective.
You can contact us today for questions and inquiries or book an appointment to solve your dental filling needs.
FAQs About Dental Filling
How do I know if I need a filling?
Common signs include sensitivity to hot or cold foods, visible dark spots, pain when biting, or rough areas on a tooth. In some cases, cavities develop silently with no noticeable discomfort at all. This is why regular dental exams are important, even when everything feels normal. Early detection allows for simpler treatment and helps preserve more of the natural tooth.
Are fillings painful?
Modern dental fillings are designed to be as comfortable as possible. Local anesthetic is used to fully numb the area, so most patients feel little more than mild pressure. Advanced techniques and tools help reduce vibration and sensitivity during treatment. Many adults are surprised by how quick and manageable the process feels.
How long does a filling last?
The lifespan of a filling depends on the material used, the size of the restoration, and daily habits such as grinding or chewing. On average, fillings can last anywhere from 5 to 15 years with proper care. Regular dental checkups allow your dentist to monitor existing fillings for wear. Good oral hygiene helps extend their durability.
Can cavities heal on their own?
Once a cavity has formed and the enamel is broken, the tooth cannot repair itself. While early mineral loss may sometimes be slowed with proper care, established decay requires professional treatment. A filling stops the spread of bacteria and restores the tooth’s structure. Addressing cavities early prevents more invasive procedures later.
Are tooth-colored fillings safe and durable?
Yes, tooth-colored composite fillings are both safe and highly durable. They bond directly to the tooth, which helps strengthen the remaining structure. These fillings are designed to blend naturally with surrounding teeth, making them ideal for visible areas. With proper care, they provide long-lasting, reliable results.
How much does a dental filling cost in Toronto?
The cost of a filling varies based on the size of the cavity, the tooth involved, and the material used. Many dental insurance plans cover a portion of the cost, especially for basic restorative care. Dental offices typically provide clear estimates before treatment begins. Discussing options ahead of time helps avoid surprises.
Do I need a filling if there’s no pain?
Yes, pain is not always present when a cavity exists. Decay often develops quietly until it reaches deeper layers of the tooth. Dental exams and X-rays can detect problems before discomfort begins. Treating cavities early helps protect the tooth and avoids more complex care.
Can fillings be replaced if old or damaged?
Fillings can be replaced if they become worn, cracked, or no longer seal the tooth properly. Replacing an old restoration helps prevent decay from forming underneath. Modern materials allow replacements to look natural and feel comfortable. Addressing worn fillings early helps preserve overall tooth health.
Final Thoughts: Your Trusted Partner for Dental Filling
Recognizing the signs that you may need a dental filling is an important step toward maintaining your oral health. Symptoms like sensitivity, tooth pain, visible discoloration, or food trapping are signals to take action. Acting early protects your teeth, prevents more invasive procedures, and ensures your smile remains healthy and confident.
At Midtown Dental, located at 20 Bloor Street East, Unit R4, Toronto, ON M4W 3G7, we combine gentle care, advanced techniques, and private, patient-centered service. Whether you need a routine filling, cosmetic restoration, or same-day dental appointment in Toronto, our team ensures treatments are discreet, comfortable, and effective. Taking care of your teeth is a choice that enhances confidence and long-term oral health, and we are here to support you every step of the way.

