Why Gum Disease Could Be Harming Your Whole Body
If you think gum disease only causes bleeding gums or bad breath, think again. For many adults in Toronto, untreated gum disease quietly contributes to heart problems, diabetes complications, pregnancy risks, and even memory loss.Periodontal disease is not just a dental issue — it is a chronic inflammatory condition that affects your entire body.
In downtown Toronto, Vaughan, and across the GTA, we routinely see patients who have ignored early symptoms — only to discover serious infection and bone loss through X-rays and advanced imaging. This article explains what gum disease actually does inside your body, why early treatment matters, and how expert periodontal care in Toronto can protect your health long-term.
What is Gum Disease
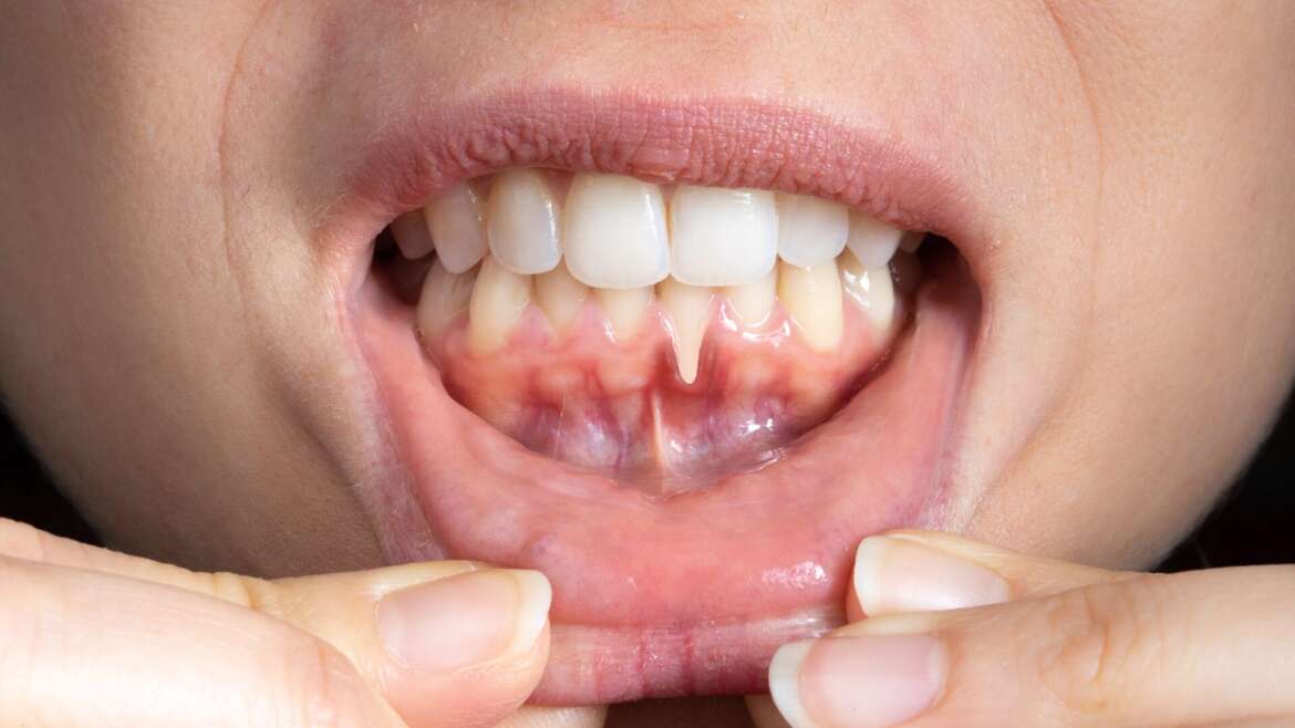
Gum disease (periodontal disease) begins when plaque builds up along the gumline. Bacteria cause inflammation, leading to gingivitis — red, swollen gums that bleed easily. At this early stage, gum disease is reversible with professional treatment.
When ignored, the infection spreads deeper into the tissue and bone, becoming periodontitis. This can cause irreversible bone loss, gum recession, loose teeth, and systemic inflammation throughout the body. Harmful bacteria can enter the bloodstream and reach your heart, lungs, brain, and pancreas.
At Midtown Dental Toronto, we diagnose gum disease daily in patients who were unaware anything serious was happening — because gum disease often causes little pain in early stages.
How Gum Disease Affects Your Heart
Gum disease has been strongly associated with cardiovascular conditions. Oral bacteria travel through the bloodstream and cause arterial inflammation. This contributes to plaque formation inside the arteries (atherosclerosis).
Narrowed arteries increase the risk of:
- Heart attack
- Stroke
- High blood pressure
Studies from Harvard Medical School show that people with periodontal disease face significantly higher cardiovascular risks. Managing oral inflammation reduces overall inflammation in the body — protecting your heart.
Gum Disease and Diabetes
If you have diabetes, your gum health is critical. Elevated blood sugar weakens your immune response, allowing gum infections to progress rapidly.
Severe gum disease:
- Makes blood sugar harder to regulate.
- Increases insulin resistance
- Raises infection risk throughout the body
Toronto patients with diabetes who receive periodontal treatment often see measurable improvements in blood sugar control. Dental treatment directly supports metabolic health.
How Diabetes Increases Gum Disease Risk
Diabetes impairs your immune system, making it tougher for your body to fight the bacteria that cause gum infections. High blood sugar also creates an environment that encourages plaque and tartar buildup, leading to inflammation and gum tissue damage. Over time, this can cause gingivitis to progress into periodontitis, the more severe form of gum disease.
Signs of Gum Disease in People with Diabetes
If you have diabetes, watch for swollen, red, or bleeding gums, bad breath that doesn’t go away, and gums that are pulling away from your teeth. You might also notice loose teeth or pain while chewing. These signs often come on subtly but require prompt dental attention to prevent further damage.
Why Controlling Gum Disease Improves Diabetes
Treating gum disease reduces inflammation that interferes with blood sugar regulation. This helps your body use insulin more effectively, making it easier to keep blood sugar levels stable. Studies suggest that patients see measurable improvements in blood sugar control after effective gum disease treatment.
Prevention and Management Tips for Patients with Diabetes
Maintaining excellent oral hygiene—brushing twice daily, flossing, and regular professional cleanings—is vital. Managing blood glucose through diet, exercise, and medication also protects your gums. If you have diabetes, make sure to share your medical history with your dentist, so your care team can tailor treatments to your specific needs.
Collaborative Care for Optimal Health
At Midtown Dental Centre and similar practices across Toronto, Vaughan, and the GTA, dentists like Dr Ramlaggan work closely with other doctors to manage the effects of diabetes on oral health. This integrated approach ensures you receive comprehensive care designed to keep your gums and your body as healthy as possible.
Pregnancy and Gum Disease
Pregnancy brings all sorts of changes, and your gums aren’t immune. Hormonal shifts increase blood flow to your gums, making them more sensitive and prone to inflammation. This means pregnant women are more likely to have “pregnancy gingivitis,” which can flare up into periodontitis if untreated.
Hormonal changes in pregnancy make gums more sensitive and prone to infection. This increases the risk of:
- Premature birth
- Low birth weight
- Pregnancy complications
- Premature birth
- Low birth weight
- Pregnancy complications
Why should you care? Research links severe gum disease with premature birth, low birth weight, and pregnancy complications. Taking care of your gums before and during pregnancy is crucial. Regular dental check-ups, gentle brushing, and flossing can greatly reduce these risks. That said, oral care in pregnancy is not cosmetic — it is medically necessary.
Respiratory Health and Gum Disease
Your mouth and lungs aren’t worlds apart. When gum disease bacteria enter your respiratory tract through inhalation or saliva, they can trigger infections like pneumonia or worsen chronic lung conditions. This effect is especially dangerous for older adults or those with pre-existing respiratory illness.
Bacteria from infected gums can be inhaled into the lungs, causing or worsening:
- Pneumonia
- COPD
- Respiratory infections
This is especially dangerous for older adults. You see, oral hygiene isn’t just about your smile, it matters for lung health, too. Keeping your gums healthy lowers the chance of harmful bacteria making their way into your lungs, helping prevent serious respiratory problems.
Gum Disease and Brain Health
Chronic inflammation is linked to cognitive decline. Studies increasingly associate periodontal disease with dementia and Alzheimer’s progression.
Healthy gums may help protect your brain as you age.
Warning Signs You Should Never Ignore
If you live in Toronto and notice any of the following, you likely require periodontal assessment:
- Bleeding when brushing
- Bad breath that doesn’t go away
- Receding gums
- Gum tenderness
- Loose teeth
- Teeth shifting
Waiting allows infection to destroy bone — permanently.
Advanced Gum Disease Treatment in Toronto
At Midtown Dental Toronto, we provide modern, targeted periodontal care using advanced diagnostics and technology. Gum disease can worsen if untreated, but with our knowledge, skills, and cutting-edge technology, we aim to restore your gum health and protect your smile for years to come.
The Chao Pinhole® Surgical Technique (PST)
For patients suffering from gum recession caused by gum disease, Dr Ramlaggan offers the Chao Pinhole® Surgical Technique. This minimally invasive treatment rejuvenates gum tissue without traditional grafting or stitches. Instead, through a tiny pinhole in the gum, the existing gum tissue is gently repositioned to cover exposed roots. This results in quicker recovery, less discomfort, and natural-looking, long-lasting results.
Patients experience:
- Minimal discomfort
- Immediate aesthetic improvement
- Rapid healing
- Long-term root protection
- The procedure restores your smile while improving overall oral health
Scaling and Root Planing (Deep Cleaning)
Scaling and root planing is a highly effective treatment for early to moderate gum disease. It involves a thorough cleaning below the gum line to remove plaque, tartar, and harmful bacteria. The tooth roots are then smoothed to prevent further bacterial buildup and to help gums reattach securely.
Often performed under local anaesthesia, this procedure is critical to stop gingivitis from progressing to more severe periodontal disease. It promotes healthier gums and teeth by dealing with infection at its source.
Always remember: Early treatment avoids surgery and tooth loss.
Laser Gum Treatments
We use advanced soft tissue laser technology as part of our treatment options. This precise and gentle method targets infected gum tissue and bacteria while minimising discomfort and speeding recovery.
Compared to traditional surgery, laser therapy:
- Offers less invasive treatment
- Lowers risk of bleeding and swelling
- Reduces treatment time and pain
- Improves patient comfort and outcomes
In short, this procedure is used for precise, gentle periodontal treatment in Toronto.
Book Periodontal Care in Toronto Today
Untreated gum disease affects:
- Your teeth
- Your heart
- Your lungs
- Your blood sugar
- Your memory
Early treatment preserves your health. Delays cost more — medically and financially.
Located steps from the Yonge & Bloor Station, Midtown Dental Toronto offers advanced gum treatment for patients across downtown Toronto, Vaughan, and the GTA.
FAQs About Gum Disease Toronto
Can a gum infection affect your whole body?
Yes, gum infections can send harmful bacteria and inflammation into your bloodstream. This can contribute to serious conditions like heart disease, diabetes complications, and respiratory problems. So, your oral health plays a vital role in your overall wellbeing.
How does gum disease affect your health?
Gum disease causes chronic inflammation that can harm tissues and organs beyond your mouth. It is linked to increased risks of heart attacks, strokes, diabetes issues, and even premature birth in pregnant women. Managing gum health can help reduce these systemic risks.
Can you live your whole life with gum disease?
While it’s possible to live with gum disease, leaving it untreated can lead to tooth loss and systemic health problems. Early detection and treatment can control it, but ignoring gum disease allows it to worsen over time. Regular dental care is crucial to maintaining oral and overall health.
How does gum health affect brain health?
Poor gum health may contribute to cognitive decline and diseases like Alzheimer’s. Bacteria and inflammation from gum disease can reach the brain, worsening neurological conditions. Protecting your gums could support long-term brain health.
How do you know if a gum infection is spreading to your body?
Signs include persistent fatigue, fever, swollen lymph nodes, or unexplained body-wide inflammation. Gum infection spreading is rare but serious and requires prompt medical attention. Regular checkups and early gum treatment help prevent such complications.
What is the silent danger of deep gum disease?
Deep gum disease can silently destroy bone and tissue supporting your teeth. This painless progression may lead to tooth loss and chronic inflammation affecting other body systems. Routine dental visits are key to catching it early.
Is it safe to kiss someone with gum disease?
Kissing someone with gum disease can expose you to harmful bacteria. While it doesn’t guarantee you’ll get gum disease, good oral hygiene and regular dental care reduce risks. It’s best to encourage each other to maintain healthy smiles.
What does stage 4 periodontal disease look like?
Stage 4 periodontal disease involves severe gum recession, deep pockets, bone loss, and loose or shifting teeth. You may experience pain, bleeding, bad breath, and difficulty chewing. Urgent and comprehensive dental treatment is essential.
Can gum disease cause stomach problems?
While gum disease doesn’t directly cause stomach problems, the bacteria can contribute to digestive inflammation. Poor oral health may influence conditions like gastritis or ulcers indirectly. Maintaining oral hygiene supports overall digestive health.
Can a gum infection spread to the brain?
Though rare, gum infections can spread to the brain through the bloodstream, potentially causing serious conditions like brain abscesses. Early gum disease treatment dramatically lowers this risk. Prompt dental care is crucial.
What is the 3-3-3 rule for toothache?
The 3-3-3 rule suggests seeking dental care if a toothache lasts more than 3 days, pain is severe above 3 out of 10, or swelling lasts over 3 days. It helps identify when urgent attention is needed to prevent serious issues.
Can your body fight off a tooth infection?
Mild infections might be controlled by your immune system, but larger or deep infections require dental intervention. Ignoring an infection risks spreading and complications. Early treatment supports healing and prevents broader health problems.
Can a gum infection make you sick?
Yes, gum infections can cause systemic symptoms like fever, fatigue, and swollen glands if bacteria enter your bloodstream. It’s a sign your body is fighting infection, and prompt dental care is important to avoid spread.
Can a gum infection spread to your lungs?
Inhaling bacteria from gum infections can lead to respiratory illnesses such as pneumonia, especially in older adults or those with weakened immunity. Good oral hygiene reduces this risk and supports lung health.
Final Thoughts on Gum Disease
Gum disease does more than harm your smile; it can affect your heart health, blood sugar control, respiratory system, and even brain function. At Midtown Dental Centre in downtown Toronto, Dr Ramlaggan and our skilled team are dedicated to helping patients from Toronto, Vaughan, and surrounding GTA areas protect not just their oral health but their overall well-being through expert gum disease care. We are conveniently located in the heart of downtown Toronto, just steps away from the Yonge and Bloor TTC subway station, making as your reliable partner for urgent dental care.
If you’re worried about gum disease affecting your whole body or want to take proactive steps toward prevention and advanced treatment, don’t hesitate to contact Midtown Dental today. Your health is our priority, and we’re here to support you every step of the way to a healthier smile and a healthier you.

